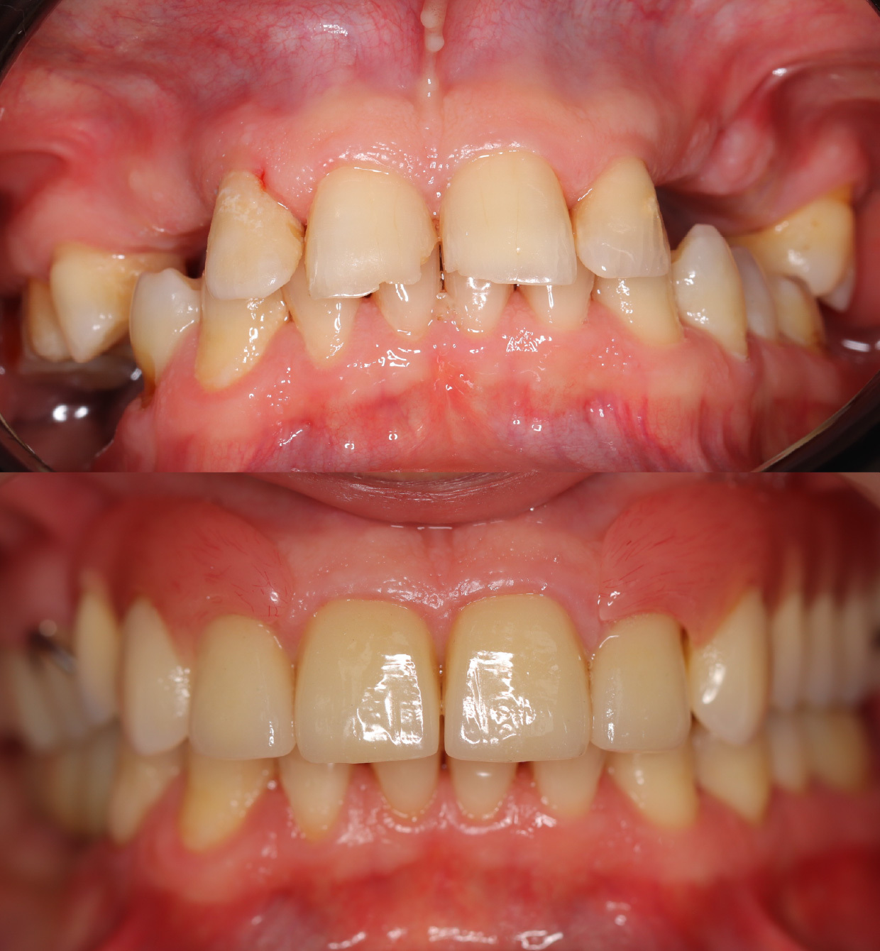
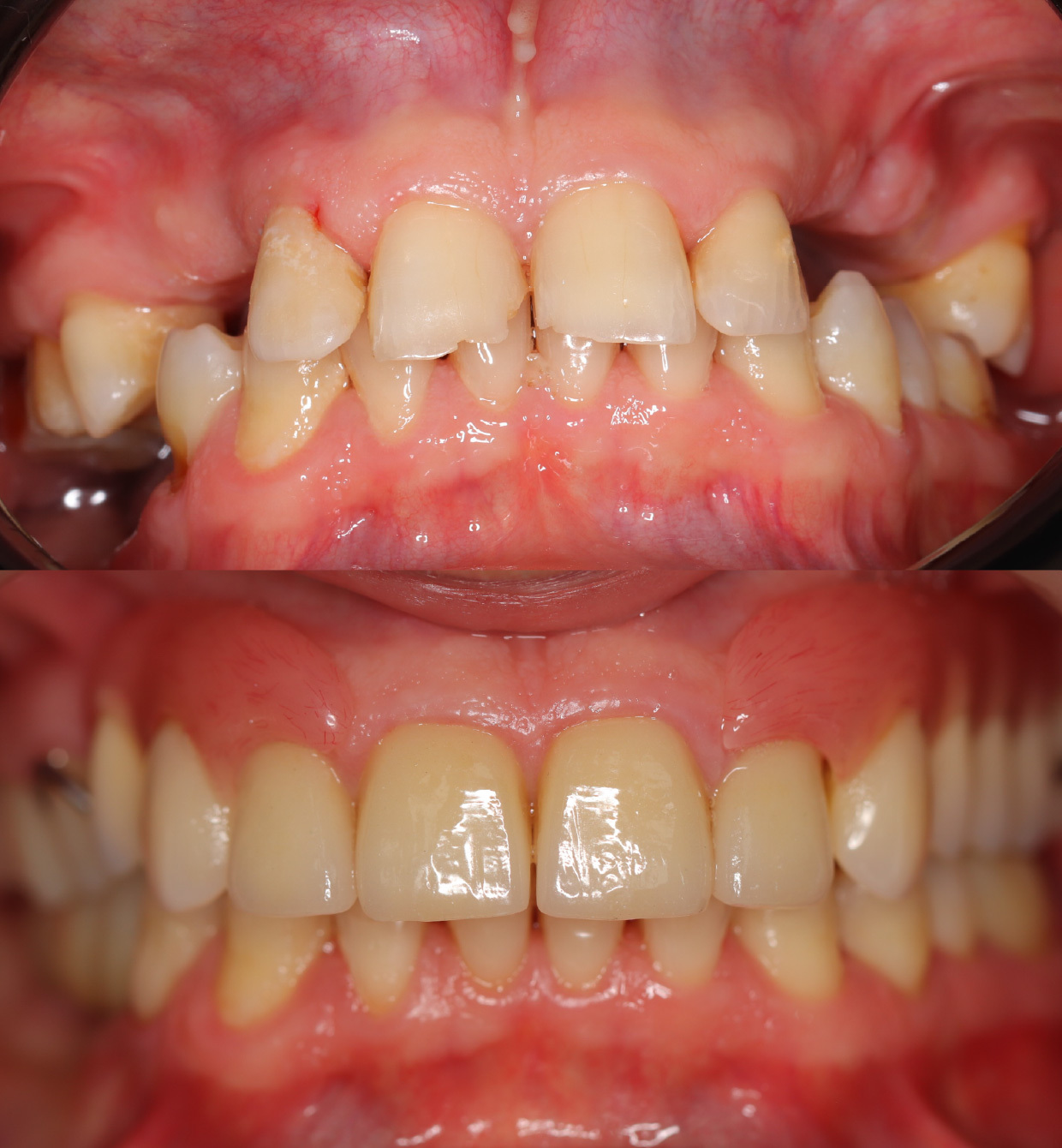
Жалобы пациента на разрушение и отсутствие зубов, желание полноценно жевать и улыбаться. Изначальная ситуация предполагала сначала лечение зубов, которые будут покрываться коронками, а далее уже непосредственно протезирование.
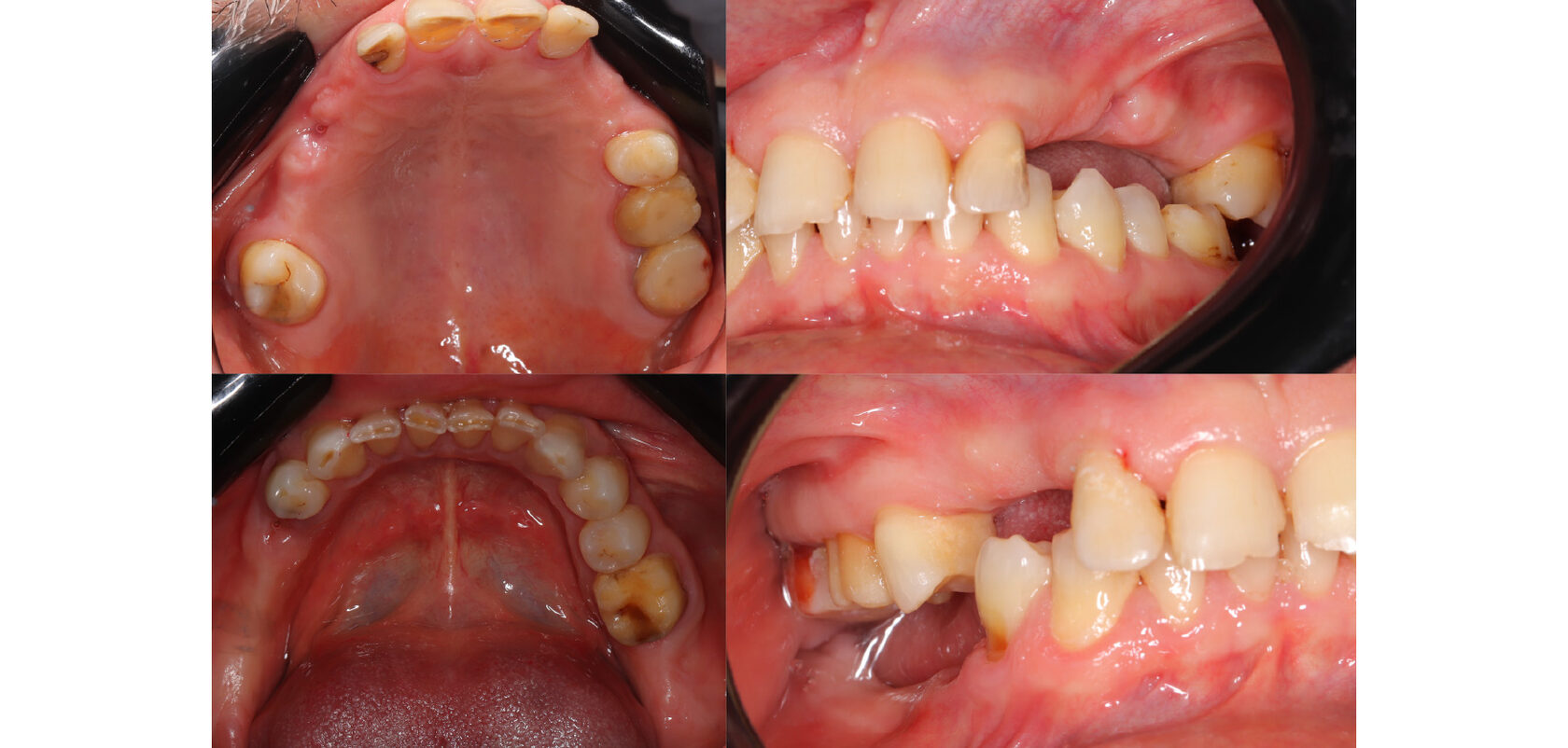
Совместно с пациентом приняли решение о восстановлении верхней челюсти с помощью съемного протеза. а на нижней челюсти с помощью имплантатов.
Совместно с пациентом приняли решение о восстановлении верхней челюсти с помощью съемного протеза. а на нижней челюсти с помощью имплантатов.
Сначала терапевтом были пролечены и подготовлены к протезированию все оставшиеся зубы. Убран кариес, заменены пломбы и некоторые зубы восстановлены на штифтах. Далее пациент был передан в руки врача ортопеда для протезирования верхней челюсти. Все зубы покрывались коронками и далее изготовился съемный протез.
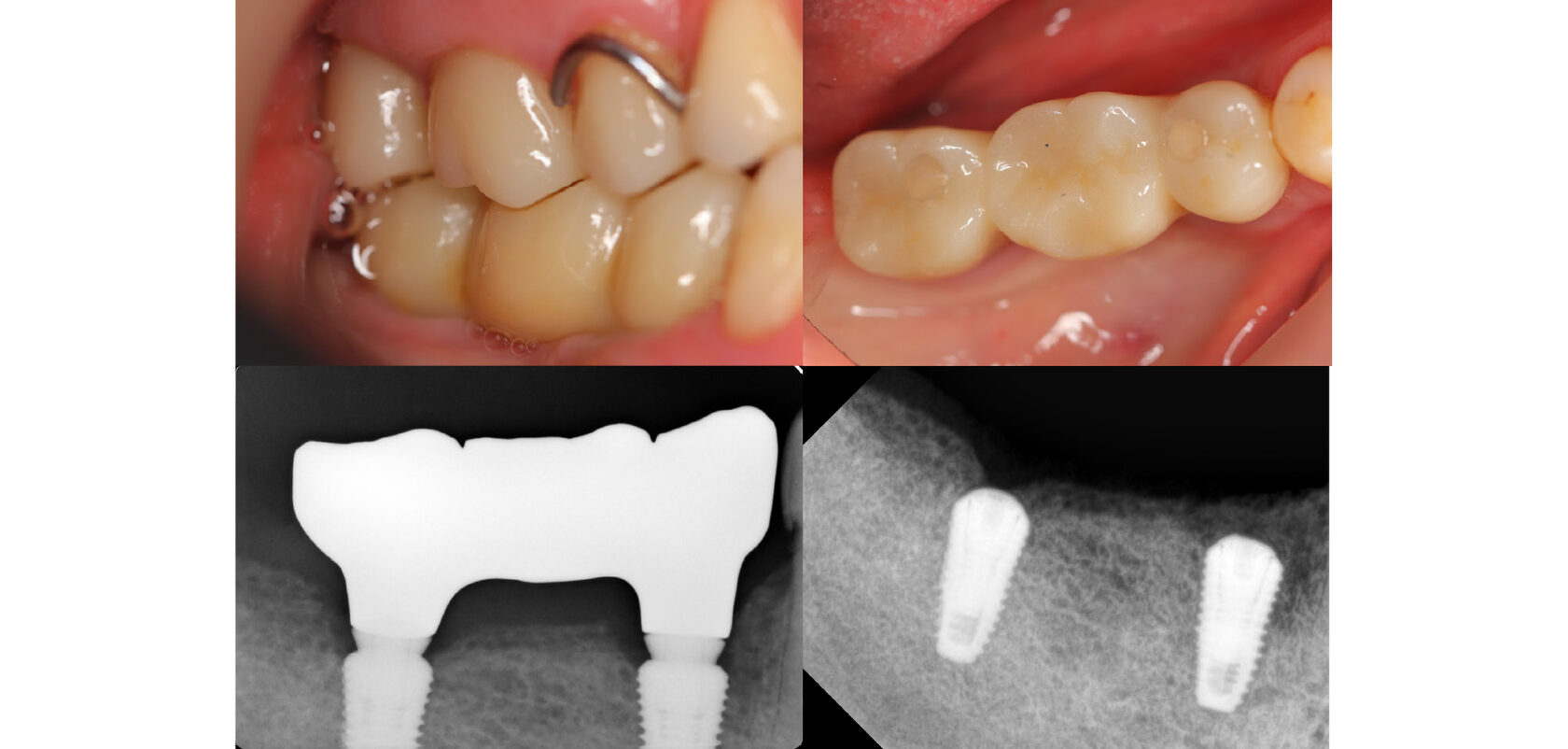
Далее пациент был направлен хирургу имплантологу, для установки двух имплантатов справа.
Слева зубной ряд закончился на седьмом зубе.
Слева зубной ряд закончился на седьмом зубе.
В итоге: полная реабилитация: удаление разрушенных зубов, лечение кариозных, укрепление коронками и протезирование обеих челюстей! Жевание, удобство, улыбка, всё есть!