Если долго ждать, и не лечить, стоматологические болезни сами не пройдут, а только увеличатся.
К сожалению, так и случилось в данном клиническом случае.
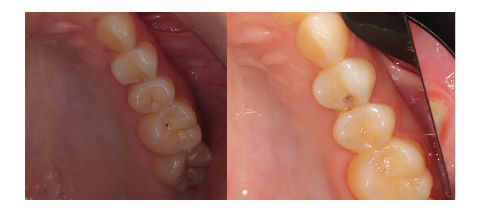
Пациент обратился к нам с профилактическим осмотром, на котором на зубе обнаружена небольшая кариозная полость, что также подтверждается снимком. Полость действительно небольшая, это означает, что кариес не добрался до нерва и требуется лишь постановка пломбы.
К сожалению, так и случилось в данном клиническом случае.
Пациент обратился к нам с профилактическим осмотром, на котором на зубе обнаружена небольшая кариозная полость, что также подтверждается снимком. Полость действительно небольшая, это означает, что кариес не добрался до нерва и требуется лишь постановка пломбы.
Но пациент на данном этапе не начал лечение, в связи с тем, что зуб не беспокоил. Спустя 1,5 года пациент обратился уже с жалобой на постоянную ноющую боль в этом же зуба, которая мучала его все новогодние праздники! Не самое приятное ощущение, правда?
При осмотре и на снимке мы видим уже совсем другую картину. кариозная полость сильно углубилась и достигла нерва, поэтому зуб давал такую сильную боль.
При осмотре и на снимке мы видим уже совсем другую картину. кариозная полость сильно углубилась и достигла нерва, поэтому зуб давал такую сильную боль.
На данном этапе, имея сильную боль и неприятную реакцию на холодную воду, пациент согласился лечить зуб, потому что если подождать еще 1,5 года, то можно его потерять.
Нами было проведено эндодонтическое лечение внутренностей зуба, предварительно восстановив сломанную стенку и изолировав зуб от слюны.
Эндодонтическое лечение проводилось согласно клинических рекомендаций ВОЗ и протоколов нашего центра. Корневые каналы промыты, избавлены от очага инфекции и плотно запломбированы, что подтверждается на контрольном снимке.
Нами было проведено эндодонтическое лечение внутренностей зуба, предварительно восстановив сломанную стенку и изолировав зуб от слюны.
Эндодонтическое лечение проводилось согласно клинических рекомендаций ВОЗ и протоколов нашего центра. Корневые каналы промыты, избавлены от очага инфекции и плотно запломбированы, что подтверждается на контрольном снимке.
Самый главный вывод из этой работы, это, конечно, то, что все возникающие проблемы и кариозные процессы необходимо решать своевременно, для того, чтобы не было обострений и неприятных последствий. Ну, а мы сделаем все качественно и сохраним всё, что будет возможно!