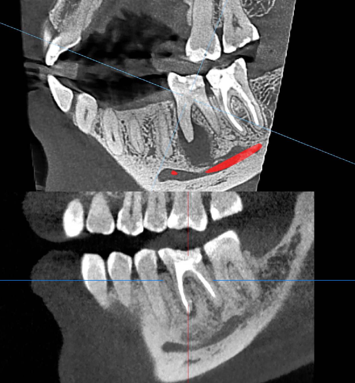
Как это часто бывает, пациенты не предъявляют жалобы при таких диагнозах. Так и в данном случае, пациента ничего не беспокоило. Кисту мы обнаружили на компьютерной томографии, которую сделали в профилактических целях.
Внешне: нарушение краевого прилегания пломбы, это когда она "отклеивается" от стенки зуба и видна как желтая полоска между пломбой и зубом, а также кариозное пятно на передней поверхности. Исходя из объема пломбировочного материала, врач сразу подозревает, что ранее зуб лечился в корневых каналах, а такие зубы требуют динамического контроля и покрытия коронками. Поэтому мы начали со снимка, на котором обнаружили большую кисту.
Чем опасно такое образование?
Болью, отеком, онемением губы и подбородка, а также даже переломом челюсти, потом что воспалительный процесс, это отсутствие кости, то есть по факту там просто "дыра" с инфекцией внутри.
Пациент отказался от удаления и мы приняли решение о лечении зуба.
Чем опасно такое образование?
Болью, отеком, онемением губы и подбородка, а также даже переломом челюсти, потом что воспалительный процесс, это отсутствие кости, то есть по факту там просто "дыра" с инфекцией внутри.
Пациент отказался от удаления и мы приняли решение о лечении зуба.
Лечение заключается в том, что корневые каналы освобождаются от старого материала, закладывается лекарство и выдерживается там несколько недель. Далее пломбируется обычным способом. И оставляется на динамическое наблюдение на 6-12 месяцев.
Через год мы сделали повторную компьютерную томографию и увидели положительный результат. Очаг инфекции ликвидирован, а кость в этом месте отлично восстановилась.
Через год мы сделали повторную компьютерную томографию и увидели положительный результат. Очаг инфекции ликвидирован, а кость в этом месте отлично восстановилась.
Далее такой зуб в обязательном порядке покрывается коронкой, поэтому пациент направлен к ортопеду для продолжения лечения.