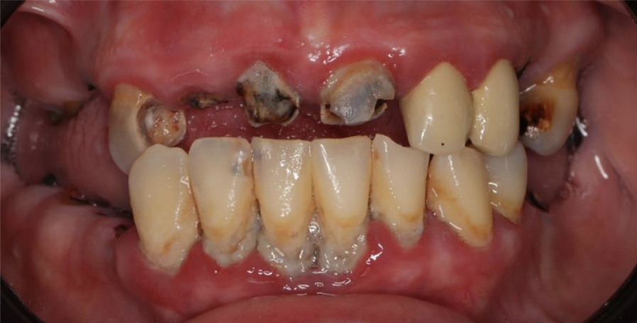
Пациентка обратилась с жалобами на эстетику, затрудненное жевание, отсутствие зубов ну и, конечно, с желанием восстановить долгожданную улыбку.
Было принято решение об удалении всех зубов и восстановлении жевательной и эстетической функции с помощью имплантатов.
Для первичной операции был изготовлен индивидуальный хирургический шаблон (по которому хирург, как по навигатору, точно выполняет установку имплантатов), также до операции были изготовлены временные зубы, чтобы их можно было зафиксировать сразу после операции.
Хирургический шаблон – это компьютерное моделирование будущей позиции имплантата, с точностью до миллиметра. Далее по цифровой модели печатается пластиковый аналог, который и позиционируется во время операции во рту пациента.
Работа началась с верхней челюсти. Были удалены все зубы, установлено 6 имплантов и сразу зафиксирован временный протез ортопедом.
Заживление проходило комфортно для пациента, по плану.
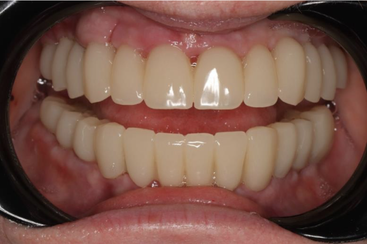
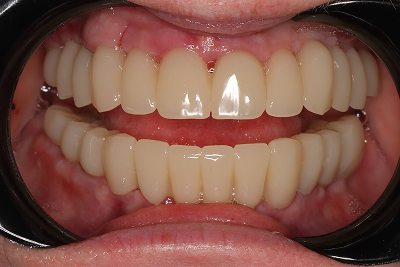
Далее была проведена та же процедура на нижнюю челюсть и вскоре уже сделаны постоянные коронки.
Далее была проведена та же процедура на нижнюю челюсть и вскоре уже сделаны постоянные коронки.
Готово! Полноценные зубные ряды, восстановлено жевание, кусание. Изменилось и помолодело лицо, изменилась речь. Эта конструкция не снимается, пациент пользуется ею на постоянной основе, радуясь своей новой улыбке.