Пациентка обратилась к нам с желанием изменить цвет, форму и положение отдельных зубов.
После проведенной диагностики, выяснилось, что у нее хороший прикус, без патологии, не требующий коррекции.
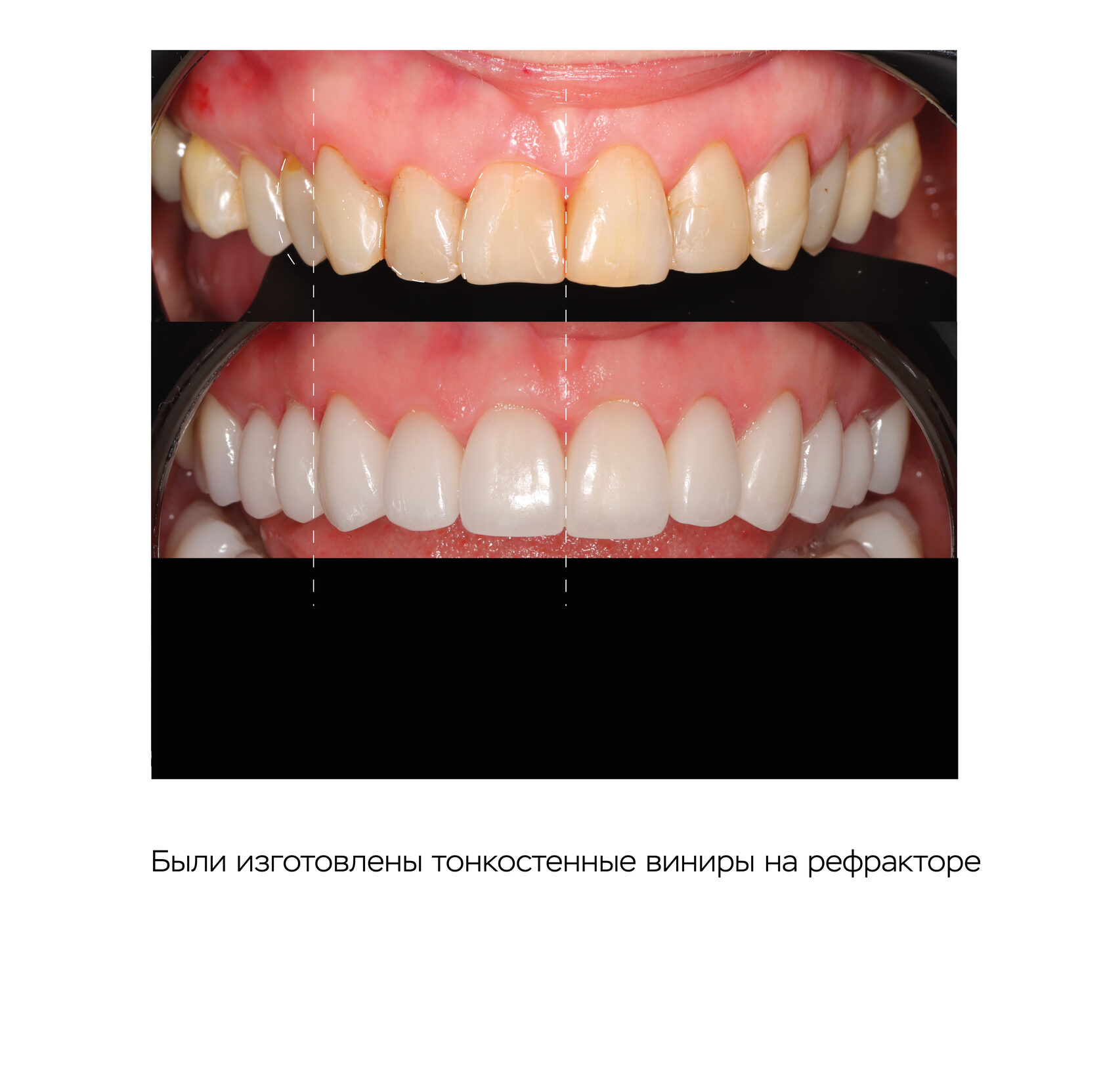
И небольшую скученность, форму и цвет было решено исправить с помощью виниров.
После проведенной диагностики, выяснилось, что у нее хороший прикус, без патологии, не требующий коррекции.
И небольшую скученность, форму и цвет было решено исправить с помощью виниров.
Сначала провели профессиональную гигиену полости рта, пролечили кариес и уже дальше врач ортопед приступил к восстановлению улыбки керамическими реставрациями.
в первую очередь, был сделан макет будущих конструкций, примерка и утверждение формы
дальше был сделан жевательный отдел, от четверых до шестых зубов
и уже потом перешли к передним зубам
в первую очередь, был сделан макет будущих конструкций, примерка и утверждение формы
дальше был сделан жевательный отдел, от четверых до шестых зубов
и уже потом перешли к передним зубам
Работа заняла около полугода, но результат покорил всех 🥰
Врач: Паздерина Анна Юрьевна
Врач: Паздерина Анна Юрьевна