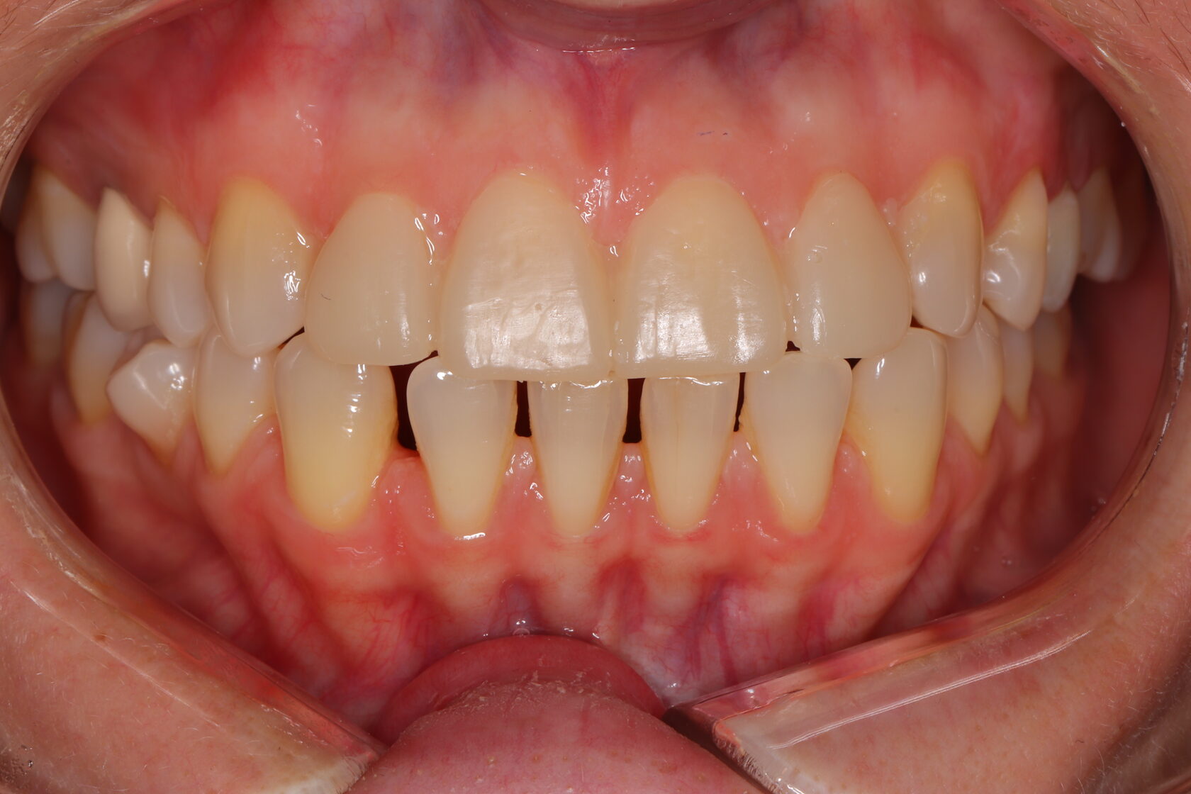
Пациент обратился с целью улучшить эстетику передних верхних зубов, закрыть промежутки.
Сначала была проведена консультация у двух ортодонтов, для того, чтобы избежать протезирования и убрать промежутки ортодонтически.
Пациент отказался комплексной от ортодонтии, а частичная ортодонтия (на одной челюсти) привела бы к неприятным последствиям.
Поэтому сначала мы сделали примерку пластмассовых прототипов будущих конструкций, чтобы оценить возможность закрытия промежутков с помощью виниров, оценить форму и длину зубов.
Поэтому сначала мы сделали примерку пластмассовых прототипов будущих конструкций, чтобы оценить возможность закрытия промежутков с помощью виниров, оценить форму и длину зубов.
И уже далее были изготовлены постоянные керамические конструкции, которые мы фиксировали в несколько этапов. Сначала обработка зубов, фиксация временных виниров и потом уже фиксация постоянных.
На временных этапах пациент всегда с зубами, мы фиксируем временные конструкции для сохранения функции и эстетики.
На временных этапах пациент всегда с зубами, мы фиксируем временные конструкции для сохранения функции и эстетики.