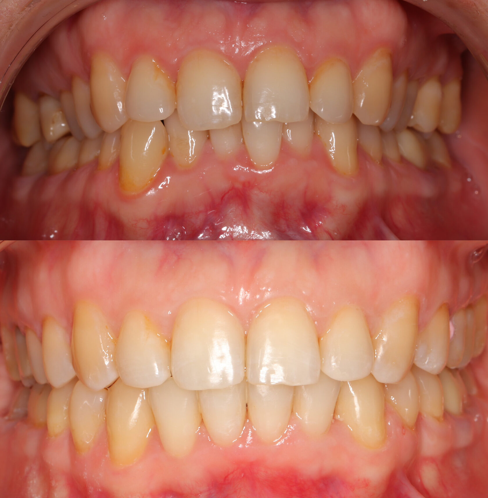
Пациент обратился с жалобой на скученность зубов нижней челюсти. В процессе диагностики, осмотра и консультации было обнаружено, что обе челюсти сужены, поэтому не всем зубам хватает места и именно поэтому появилась скученность.
До лечения была проведена комплексная ортодонтическая диагностика, далее зафиксированы металлические брекеты и началось лечение, которое по своей сути заключалось в расширении верхней и нижней челюсти, чтобы создать место всем зуба, которые не влезли в зубной ряд
И вот уже через 11 месяцев мы видим прекрасный результат, все зубки на своем месте, скученность устранена.
А самое главное, это расширение самой улыбки и исчезновение щечных коридоров (то есть пустоты между зубами и щеками)
Особенно хорошо это видно в улыбке пациента.
А самое главное, это расширение самой улыбки и исчезновение щечных коридоров (то есть пустоты между зубами и щеками)
Особенно хорошо это видно в улыбке пациента.