Редкий случай ортодонтического лечения на одной челюсти.
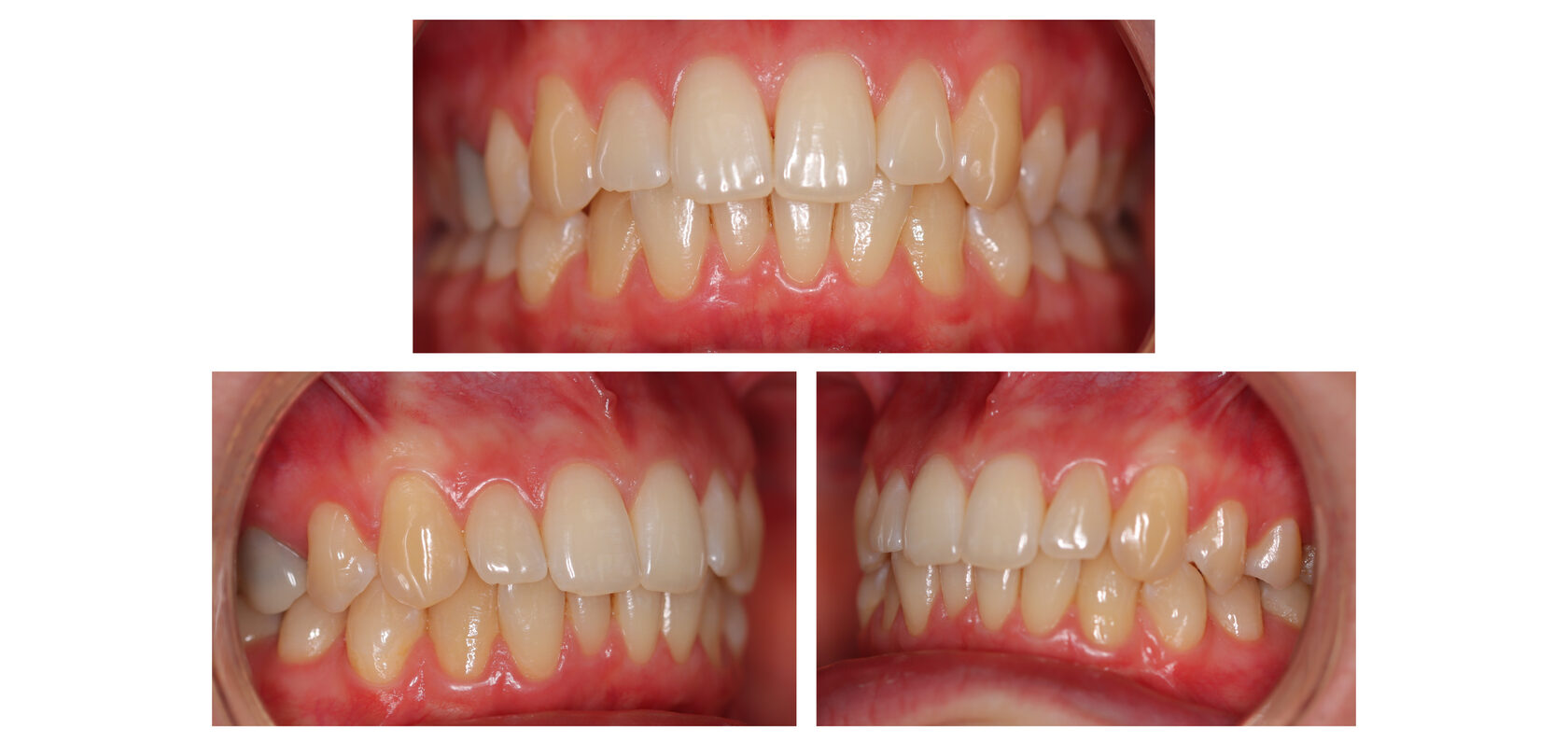
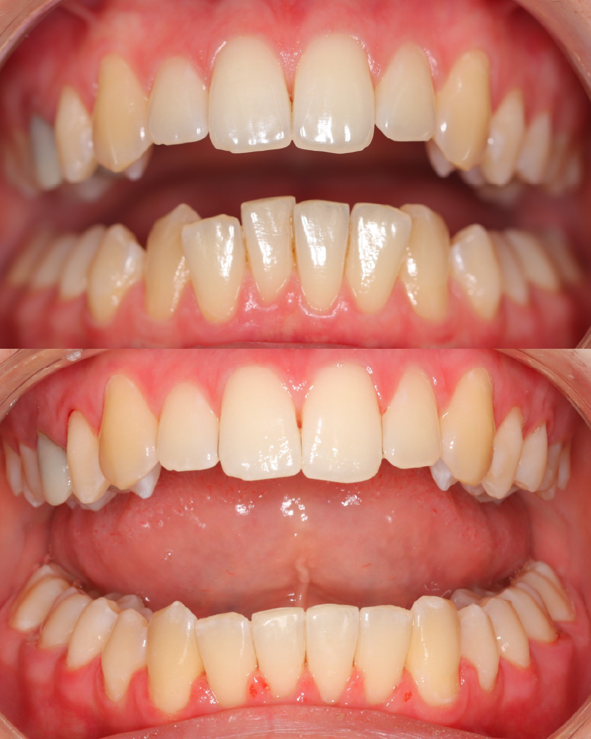
Жалобы пациента на скученность зубов на нижней челюсти.
Жалобы пациента на скученность зубов на нижней челюсти.
Ортодонтическое лечение на одной челюсти невозможно, потому что так или иначе, мы работаем с прикусом пациента, и передвигая только одну челюсть, соотношение зубов может поменяться. Схематичное изображение на пазле. Изначально все детали складываются, как надо, но при передвижении верхней или нижней детальки – пазл уже не сойдется.
Но в данном случае, у пациента имелось отличное смыкание зубов и идеальный прикус, который не хотелось менять.
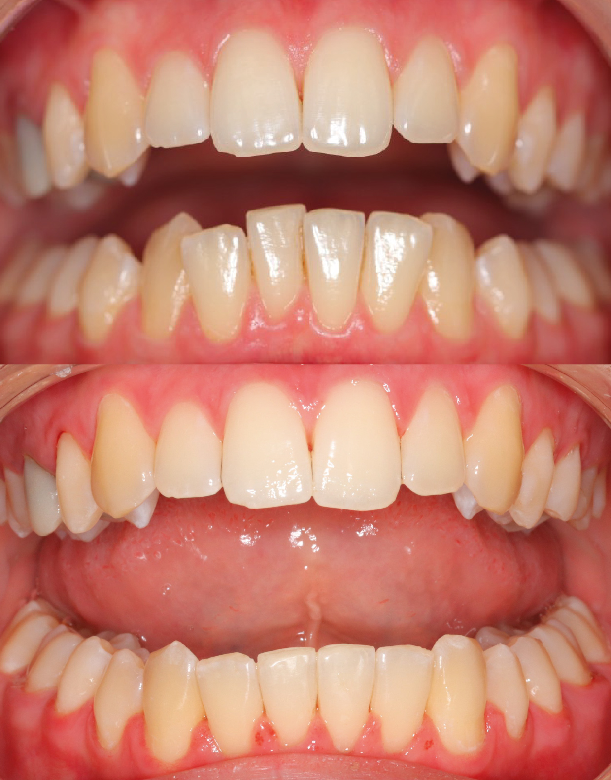
Если не двигать жевательные зубы, чем жертвовать, ведь для передних резцов нужно место?
В данном клиническом случае совместно с пациенткой приняли решение о сепарации нижних резцов, то есть спиливании их по бокам, делая их из более треугольных - более прямые.
Сепарация проводилась только в пределах эмали и никак не повлияла на чувствительность зубов, а также не пострадала эстетика.
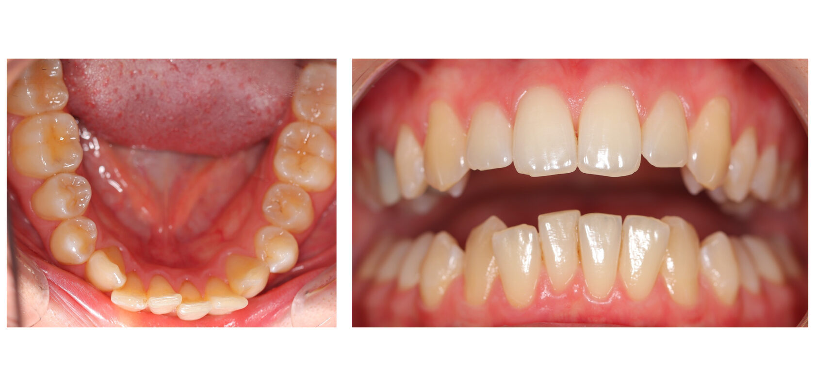
Лечение проводилось 11 месяцев и получился замечательный результат, который устроил пациента и врача.
В данном клиническом случае совместно с пациенткой приняли решение о сепарации нижних резцов, то есть спиливании их по бокам, делая их из более треугольных - более прямые.
Сепарация проводилась только в пределах эмали и никак не повлияла на чувствительность зубов, а также не пострадала эстетика.
Лечение проводилось 11 месяцев и получился замечательный результат, который устроил пациента и врача.
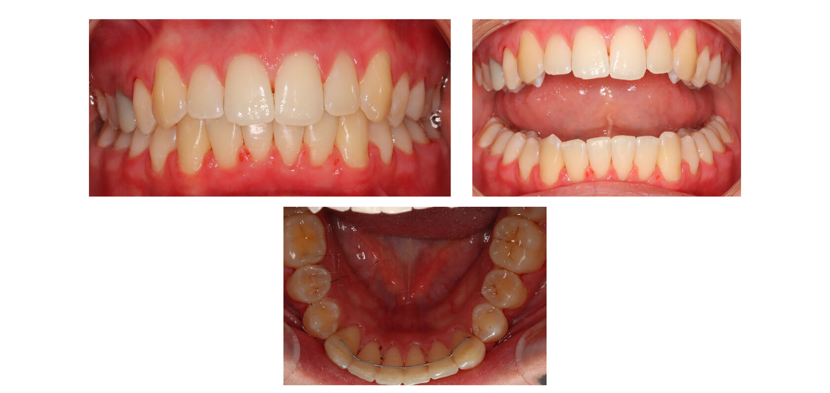
Вот, что из этого получилось!